부정출혈, 자궁내막암, 질식초음파, 자궁암검사
페이지 정보
작성자 운영자 작성일25-08-06 09:33 조회483회본문
자궁암에는 대표적으로 자궁내막암, 자궁경부암이 있습니다.
자궁내막이란 ~
자궁 안의 공간을 덮고 있는 곳으로, 이 곳에 발생하는 암을 자궁내막암이라고 합니다.
자궁경부암의 발병률은 지속적으로 주춤한 사이 흔하지 않다고 여겨지던 자궁내막암의 발병률이 꾸준히 증가하고 있는 추세입니다.

자궁내막은 임신 시 수정란이 착상을 하는 곳이며, 생리 기간에 주기적으로 증식과 탈락을 반복합니다.
이 부위에 악성종양이 발생한 것으로 서구화된 식생활 습관이 진행되며, 발생 빈도가 높아지고 있습니다.
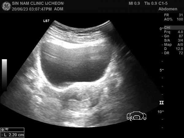
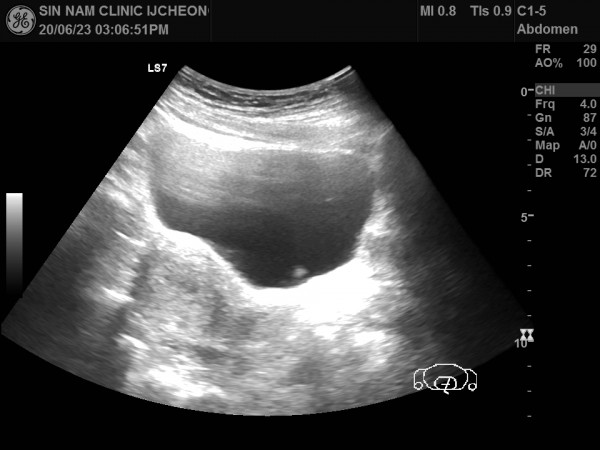
아래 자료는 건강보조식품과 홍삼을 장기 복용한 후 부정출혈이 발생하여 본원에 내원하신 환자분입니다.
내막비후가 지속되어 내막조직검사를 진행하여 내막암 진단을 받으신 분의 초음파 자료입니다.
자궁내막증의 흔한 증상은 비정상적인 질 출혈로 대부분 생리가 아닌 시기에 발생하지요.
폐경 이후 여성에게서 질 출혈이 있을 경우 암의 가능성을 염두해 두어야 하지만 실제로 이 연령대의 여성에서 질 출혈의 가장 흔한 원인은 자궁내막 위축으로 알려져 있습니다.
폐경 후 여성의 부정출혈 증세이나 가임기 여성에서도 비정상적인 출혈 증세를 보이는 경우, 그 원인은 다양합니다.
자궁근종, 난소혹, 배란 출혈부터 내막암까지...
원인을 발견하기 위해 시행하는 기본 검사는 자궁암 검사와 질식 초음파가 되겠습니다.
최근 들어 국내 여성의 내막암 발생이 늘어나고 있어 내막암의 원인에 대해 설명하려고 합니다.
자궁내막암은 에스트로겐 의존성 종양으로 에스트로겐의 과다 노출이 발병 위험을 높이는 것으로 알려져 있습니다.
특히 비만, 늦은 폐경, 고지방 식단 등은 에스트로겐 수치를 높여 자궁내막암 발생 위험을 증가시킬 수 있습니다.
최근에는 건강보조식품중 에스트로겐 함량이 높은 것들을 과다복용하면서 외려 암의 위험이 높아지고 있어서 에스트로겐을 함유한 보조식품들은 어떤것이 있는지를 설명드리려고 합니다.
석류, 콩, 두부, 양상추, 자두. 홍삼. 흑염소.경옥고 식품과 보약제들은 여성 호르몬인 에스트로겐과 유사한 작용을 하는 식물성 에스트로겐(이소플라본)을 함유하고 있어 에스트로겐이 풍부한 건강 식품도 매일 과량으로 복용하게 되면 유방낭종이나 자궁근종 난소혹이나 내막비후가 발생하므로 과잉섭취가 되지 않도록 조심하셔야 합니다.
체중조절만 유지해도 자궁내막암 재발을 충분히 억제할 수 있습니다.
당뇨 관리 잘 하고, 건강기능식품을 함부로 섭취하지 않아야 합니다.




